창고 정리 중 끔찍한 사고, 얼굴은 망가졌지만…
미국에 거주하는 척 사이먼스(67) 씨는 2014년 부친의 창고에서 물건을 정리하다가 무거운 장비에 얼굴을 깔리는 사고를 당했습니다. 이 사고로 광대뼈가 함몰되고 턱뼈가 부러지는 중상을 입었으며, 10일간 의식을 잃기도 했습니다. 그는 당시 상황을 '얼굴이 권투 선수와 수십 라운드를 싸운 것처럼 망가졌다'고 회상했습니다. 복원 수술 후 일상으로 복귀했지만, 예상치 못한 후폭풍이 기다리고 있었습니다.

5년 뒤 찾아온 악몽, 폐를 막아버린 먼지
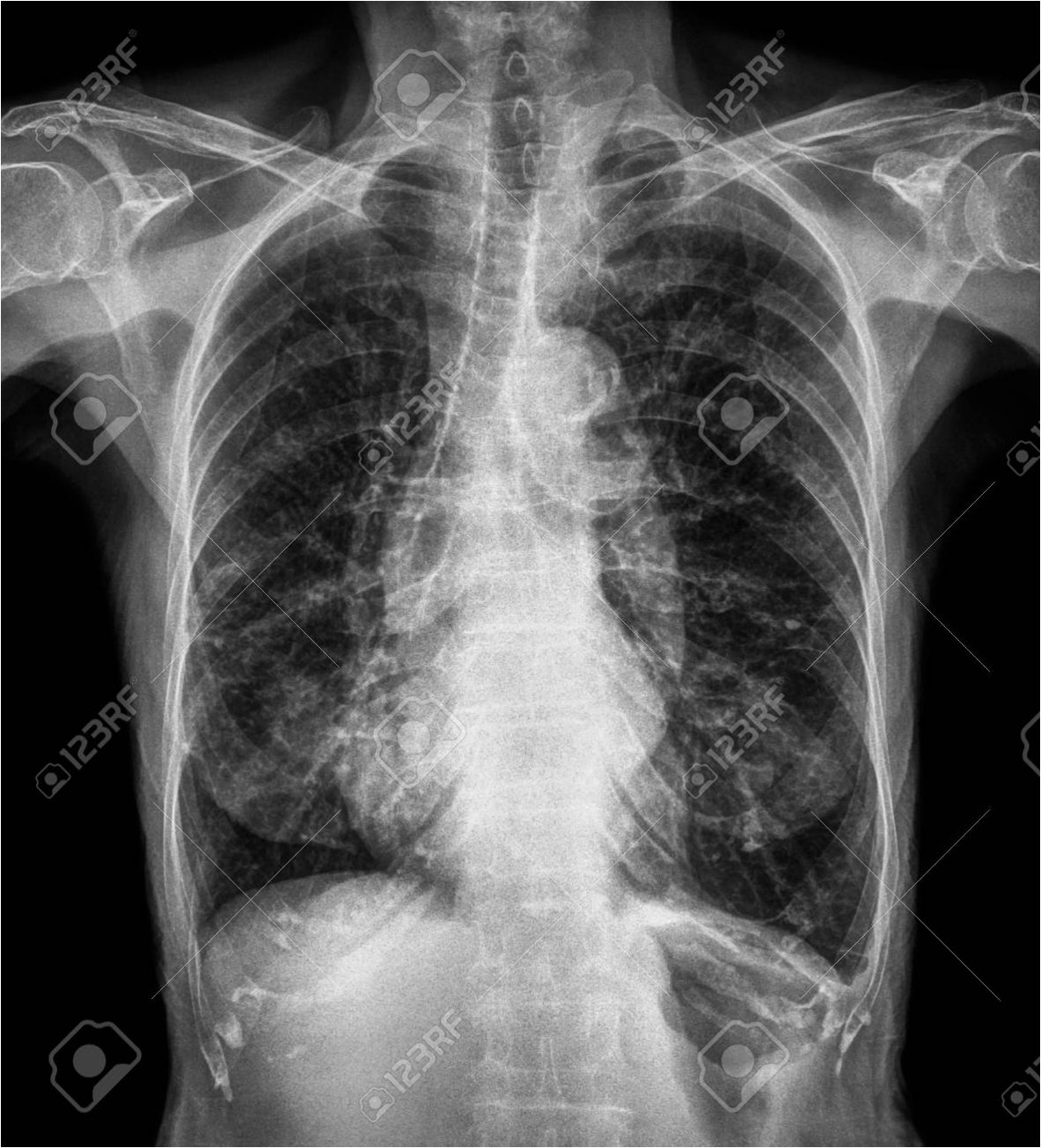
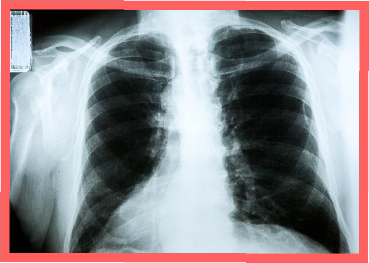
사고 발생 5년 뒤인 2019년부터 밤마다 원인 불명의 고열에 시달리던 사이먼스 씨는 병원을 찾았습니다. CT 검사 결과, 사고 당시 흡입했던 먼지 파편이 폐 깊숙이 들어가 배출되지 못하고 딱딱하게 굳어 왼쪽 폐 기관지를 완전히 막고 있다는 충격적인 사실이 밝혀졌습니다. 그는 '기계에 깔려 움직일 수 없을 때 먼지를 들이마셨는데, 그게 깊이 들어가 굳어버렸다'고 당시를 설명했습니다.

석회화된 폐, 결국 적출 결정
의료진은 이물질이 기관지에 박히면서 신체가 칼슘으로 둘러싸 격리하는 과정에서 석회화가 진행된 것으로 판단했습니다. 정밀 검사 결과, 좌측 폐는 5년간의 감염으로 기능을 완전히 상실한 상태였습니다. 의료진은 처음에는 석회화된 부분만 제거하려 했으나, 손상 범위가 너무 넓어 결국 폐 전체를 적출해야 한다는 결론에 이르렀습니다. 사이먼스 씨는 결국 왼쪽 폐를 떼어내는 수술을 받았습니다.

작은 먼지 한 톨이 인생을 바꾸다
사이먼스 씨는 '작은 먼지 한 톨이 내 인생을 이렇게 바꿀 줄 몰랐다'며 '수술 동의서에 서명하던 순간이 인생에서 가장 무거웠다'고 심경을 토로했습니다. 전문가들은 외상으로 이물질이 체내에 남을 경우 장기간에 걸쳐 석회화가 진행되며 염증이나 조직 괴사를 일으킬 수 있다고 경고합니다. 특히 폐 조직은 통증 수용체가 적어 초기 증상 인지가 어렵고, 염증이 심해져야 발열, 기침, 호흡곤란 등이 나타날 수 있어 주의가 필요합니다.

먼지 한 톨의 경고: 창고 사고 후유증, 당신도 안전하지 않습니다
창고 정리 중 발생한 사고로 흡입한 미세먼지가 5년 후 폐 전체를 적출하는 결과로 이어진 60대 남성의 사연은 우리에게 큰 충격을 안겨줍니다. 작은 이물질이라도 폐에 깊숙이 들어가면 석회화되어 치명적인 결과를 초래할 수 있음을 보여줍니다. 폐는 통증을 잘 느끼지 못하므로, 초기 증상 인지가 어렵다는 점을 명심하고 주의해야 합니다.

궁금해하실 만한 점들
Q.사고 당시 흡입한 먼지가 폐에 남을 수 있나요?
A.네, 외상으로 인해 유리 조각이나 금속 파편 같은 이물질이 체내에 남을 경우, 폐 깊숙이 들어가 배출되지 못하고 석회화될 수 있습니다.
Q.폐에 이물질이 들어가면 어떤 증상이 나타나나요?
A.폐 조직에는 통증 수용체가 거의 없어 초기에는 증상을 느끼기 어렵습니다. 염증이 심해져 늑막이나 기관지를 자극하면 발열, 기침, 호흡곤란 등이 나타날 수 있습니다.
Q.폐 석회화는 어떻게 치료하나요?
A.손상 범위에 따라 다르지만, 심한 경우 석회화된 부분만 제거하는 것이 아니라 폐 전체를 적출하는 수술이 필요할 수 있습니다.

'이슈' 카테고리의 다른 글
| 충격 증언: 한학자 총재 도박 첩보, 대통령실 보고 후에도 사건 미배당된 사연 (0) | 2026.02.12 |
|---|---|
| 전직 대통령 운명의 날: 사형 vs 무기징역, 생중계되는 역사적 순간 (0) | 2026.02.11 |
| 국내 증시 뒤흔들 2배 레버리지 ETF: 삼성전자·하이닉스·현대차만 노린다? (0) | 2026.02.11 |
| 삼성전자 전 특허수장, 기밀 유출 혐의 1심 징역 3년 선고받다 (0) | 2026.02.11 |
| 생활고와 병마에 지쳐… 아내와 동반 자살 시도 끝에 비극적 선택 (0) | 2026.02.11 |